
The Planmeca Romexis® CMF Surgery module is an advanced orthognathic software for preparing virtual surgical treatment plans. It provides surgeons with the means to evaluate cases and to generate intermediate and final splints based on the target occlusion and position of the jaw.
Romexis CMF Surgery brings together all the needed tools for planning orthognathic treatments. The software automatically generates cutting templates for the most common osteotomies, such as LeFort 1, BSSO and Genioplasty.

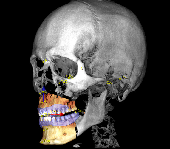
The Romexis CMF Surgery software module features a measurement table that makes following anatomic landmarks and measurements between them easy during orthognathic treatment simulations.

When the surgical treatment plan is complete, intermediate and final splints can be designed easily with the software and flexibly exported in STL file format for 3D printing.

You can order splints, implant guides and patient-specific implants from our Planmeca ProModel™ team directly via the Romexis CMF Surgery software. The team also assists surgeons in planning their orthognathic treatment together in a virtual session.
