
The Planmeca Romexis® Cephalometric Analysis software module is the ultimate tool for performing cephalometric analyses, surgical planning and treatment follow-ups in 2D. The software provides benefits for orthodontists, general dentists and maxillofacial surgeons.
With Romexis Cephalometric Analysis, you follow up treatments easily, as the software superimposes X-ray images, tracings and profile photos from different treatment stages automatically.

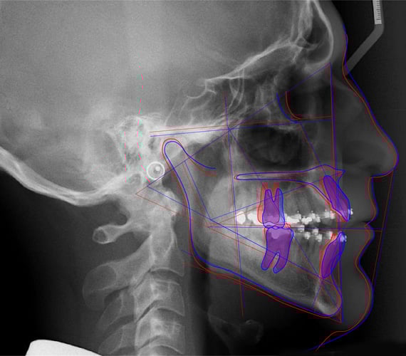
Romexis Cephalometric Analysis offers easy-to-use tools that make analysing images both quick and efficient. The software's automatic tracing feature places the points and soft tissue silhouettes on a cephalometric image in a matter of seconds – leaving you more time to interpret the results of the analysis.

The Romexis Cephalometric Analysis software module allows you to simulate surgical and orthodontic treatments by creating a cephalometric visual treatment objective (VTO) with a prediction image.
