
The Planmeca Romexis® software platform offers versatile and intuitive tools for varying clinicians and specialities – helping dental clinics of all types reach their full potential and provide the best level of care possible. The Romexis 3D software module supports all 3D image types.
The Romexis 3D software module is a superior choice for all dental 3D imaging, as it allows users to manage CBCT images, surface models, 3D photos and even 4D jaw motion recordings in one interface. The module is optimal for streamlined and quick image viewing and provides the tools needed for advanced treatment plans and analyses.

The Romexis 3D module allows users to do it all, as it provides advanced 3D imaging tools specifically designed for various specialities and fields of dentistry – such as orthodontics, prosthodontics, implantology, endodontics, maxillofacial surgery and general dentistry.

The Romexis software’s 3D rendering view provides an immediate overview of a patient’s anatomy and serves as an excellent tool for patient education. It allows you to instantly view images from different projections or converted into panoramic images and cross-sectional slices. The software’s measuring and annotation tools – such as nerve canal tracing – further support safe and accurate treatment planning.

Romexis provides an extensive toolkit for segmenting volumetric CBCT data. The entire volume can be converted to an STL model. Individual teeth, the mandible and maxilla, airways, sinuses and roots can all be segmented, saved and exported as STL files from the software for further orthodontic or prosthetic planning and 3D printing.

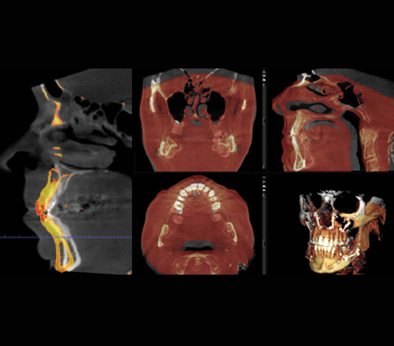
Airways are segmented with a few simple clicks in Romexis. The software automatically calculates the volume and minimal area and visualises the patient’s airways with vibrant colours. Our Planmeca Ultra Low Dose™ CBCT imaging protocol is also an optimal choice for examining airways, as it allows lowering the patient dose significantly without a statistical reduction in diagnostic image quality.

The Romexis 3D module lets you visualise and analyse 3D photos – either ones acquired with the Planmeca ProFace® photo option (available for all Planmeca CBCT imaging units) or imported from other sources in the standard OBJ file format. The photos can be mapped with CBCT images and digital impressions in the software to create a virtual patient in 3D – perfect for before-and-after comparisons, treatment simulations and patient education.

CBCT images are ideal for orthodontic diagnoses and the Romexis software makes it easy to analyse skeletal symmetry, detect unerupted and supernumerary tooth positions, as well as identify root resorption and orientation accurately. The software can also create cephalometric images and panoramic views from CBCT images to be used for cephalometric analyses.

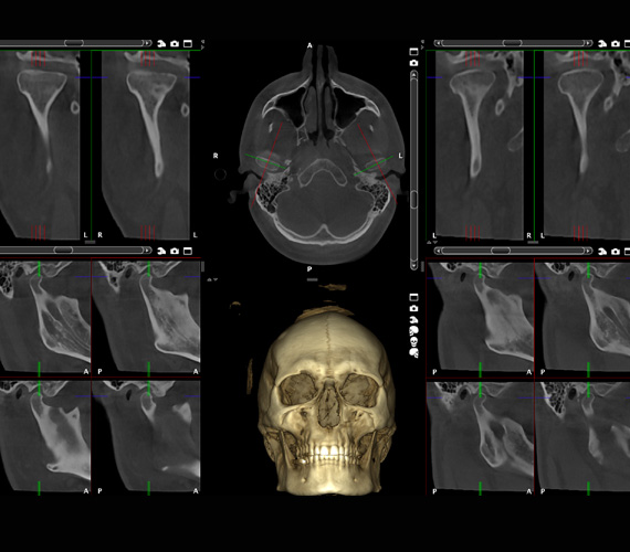
Temporomandibular joint (TMJ) pain affects a significant part of the population. Planmeca Romexis provides views especially designed for examining and analysing TMJ concerns. Both of a patient’s joints can be evaluated at the same time within the software, with precise measurements also created.

The Planmeca Romexis 3D module allows you to flexibly superimpose two CBCT images. This makes before-and-after comparisons easy and the feature can also be used for orthognathic surgery follow-ups or orthodontic treatments, for example.

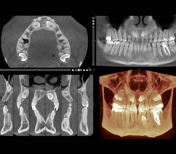
All our 3D imaging units have a special high-resolution mode with a 75 µm voxel size that has been specifically designed for endodontic imaging. When paired with the Romexis software’s superior visualisation capabilities, the mode is ideal for endodontic diagnostics and patient education. Root canals, traumas, root fractures and root resorption can all be easily evaluated – leading to accurate diagnoses and treatment plans.

Any type of 3D data in a standard file format can be imported to or exported from Romexis. The software also allows volumetric DICOM data to be converted to a surface model and exported as an STL file. You can export STL models (such as scans, crowns, abutments, airways and nerves) either as one file or individually. The 3D module also integrates with 3rd party software, as well as lab portals and services – allowing you to launch them and export their data with a single click.

Converting CBCT studies into multi-page printouts is quick, and they can also be shared with the free Planmeca Romexis® Viewer application for Windows and Mac. Cases can also be easily sent to mobile devices and viewed with the Planmeca mRomexis™ imaging app for iOS and Android. In turn, sharing cases with partner clinics is simple with the Planmeca Romexis® Cloud file transfer service.

The Romexis 3D module can be seamlessly expanded into a full treatment planning software that supports implant planning and orthognathic implant planning. The full implant workflow also allows you to design surgical guides for implant placement procedures and splints for orthognathic surgeries.
