Our versatile mobile imaging application Planmeca mRomexis™ allows images to be viewed and captured flexibly. It enhances the power of our Planmeca Romexis® dental software platform by opening up new possibilities for patient communication and clinical workflows.
You can access and view all types of images saved to the Romexis server with your Planmeca mRomexis mobile application. You can also save 2D and 3D surface models to a tablet for offline use outside your clinic.

Planmeca mRomexis can be used to directly capture X-ray images with Planmeca intraoral, panoramic and cephalometric imaging units. The images are automatically stored to the Romexis server. It is easy to add new patients to the database from the tablet interface.

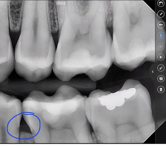
It is incredibly convenient to show 2D and 3D images to patients from a tablet using Planmeca mRomexis. The application stands out with its usability. You can use intuitive finger gestures to manipulate images and simple annotation tools to point out findings to patients and colleagues.

Use Planmeca mRomexis to capture patient photos with your tablet’s built-in camera. The photos are automatically stored to the Romexis server and immediately available for further uses, such as patient identification or designing smiles.

Planmeca mRomexis allows recording voice annotations to 2D images with the tablet’s microphone. You can even add annotations highlighting various points to an image while speaking.

Planmeca mRomexis works together well with our Planmeca Romexis® Cloud image transfer service. 2D images sent with it can be easily received and accessed with the mobile application.

