Tutte le unità di imaging Planmeca 3D offrono l’esclusivo protocollo di imaging Planmeca Ultra Low Dose™ che permette di effettuare l’imaging 3D con una dose di radiazioni per il paziente ancora più bassa rispetto all’imaging panoramico 2D standard.
Planmeca Ultra Low Dose può essere utilizzato insieme a tutte le dimensioni di voxel e modalità di imaging – dai campi focali più piccoli a quelli più grandi. Il protocollo di imaging è l’ideale per ottenere informazioni anatomiche dettagliate a dosi molto basse per il paziente.
L’utilizzo del protocollo di imaging Planmeca Ultra Low Dose è tanto semplice quanto la pressione di un pulsante. È possibile selezionarlo facilmente dal pannello di comando dell'unità radiografica – con le dosi per il paziente immediatamente visibili per la piena trasparenza nell'immagine.
Il protocollo di imaging all'avanguardia si basa su algoritmi 3D intelligenti che riducono in modo significativo le dosi per il paziente senza una riduzione statistica della qualità dell'immagine – assistendo i medici di tutto il mondo ad aderire al principio ALARA (As Low As Reasonably Achievable).
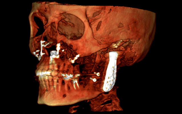
Il protocollo Planmeca Ultra Low Dose ha dimostrato di essere l'ideale per una vasta gamma di casi clinici: inclusi l’ortodonzia, la pianificazione degli impianti e la chirurgia maxillo-facciale nonché gli studi delle vie aeree e del seno.
Immagini a ultra basso dosaggio - Cranio completo
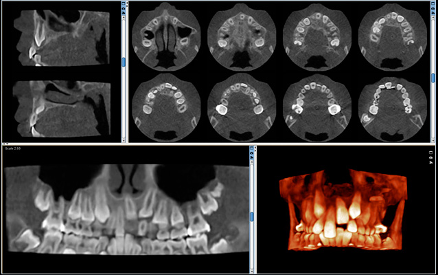
Planmeca ProMax 3D Mid - FOV Ø 200 x 170 mm. - Dimensioni voxel 300 µm / 600 µm - Dosaggio effettivo del paziente 14,7 µSv

Planmeca ProMax 3D Mid - FOV Ø 200 x 170 mm. - Dimensioni voxel 300 µm / 600 µm - Dosaggio effettivo del paziente 14,7 µSv

Planmeca ProMax 3D Classic - FOV Ø 40 x 50 mm. - Dimensioni voxel 150 µm - Dosaggio effettivo del paziente 14,4 µSv

Planmeca ProMax 3D Max - FOV Ø 85 x 50 mm. - Dimensioni voxel 400 µm - Dosaggio effettivo del paziente 7,9 µSv

Planmeca ProMax 3D Max - FOV Ø 85 x 50 mm. - Dimensioni voxel 400 µm - Dosaggio effettivo del paziente 4,0 µSv

Planmeca ProMax 3D Max - FOV Ø 230 x 160 mm. - Dimensioni voxel 600 µm - Dosaggio effettivo del paziente 21 µSv

Planmeca ProMax 3D Max - FOV Ø 230 x 160 mm. - Dimensioni voxel 600 µm - Dosaggio effettivo del paziente 21 µSv

Planmeca ProMax 3D Max - FOV Ø 230 x 160 - Dimensioni voxel 600 µm - Dosaggio effettivo del paziente 42 µSv
Risoluzioni elevate e dosi standard non sono sempre necessarie – spesso è sufficiente una quantità minore. Le immagini Planmeca a dosaggio ultra basso sono sufficienti per visualizzare, ad esempio, il canale del nervo mandibolare per la pianificazione dell'impianto e le estrazioni del dente del giudizio. Tutte queste operazioni possono essere effettuate a un dosaggio incredibilmente basso.
dimensioni voxel di 150 µm, dosaggio per il paziente ~134 µSv
Moltissimi dettagli, ad alto dosaggio
dimensioni voxel di 150 µm, dosaggio per il paziente ~32 µSv
Molti dettagli, a basso dosaggio
dimensioni voxel di 200 µm, dosaggio per il paziente ~86 µSv
Molti dettagli, a dosaggio moderato
dimensioni voxel di 200 µm, dosaggio per il paziente ~20 µSv
Molti dettagli, a basso dosaggio
dimensioni voxel di 400 µm, dosaggio per il paziente ~30 µSv
Meno dettagli, a basso dosaggio
dimensioni voxel di 400 µm, dosaggio per il paziente ~6 µSv
Pochi dettagli, dosaggio molto basso